ワイヤー矯正を開始される方へ
固定式の装置は装置の周りに食べ物が残りやすくなります。
今までよりも、むし歯、歯周病のリスクが非常に高まるだけでなく、
磨き残しが多い場合は、装置が外れてしまう原因や口臭の原因にも繋がることがあります。
それらを予防する為に、今までよりも「毎日お口の中を清潔に保つケアをする」という必要があります。
今までよりも、むし歯、歯周病のリスクが非常に高まるだけでなく、
磨き残しが多い場合は、装置が外れてしまう原因や口臭の原因にも繋がることがあります。
それらを予防する為に、今までよりも「毎日お口の中を清潔に保つケアをする」という必要があります。
toothbrush
歯ブラシ

a 装置上

b 装置下

c 装置周り
- FLOW1
3つの部位に分けて磨く
装置が付いている歯は、1本の歯を3つの部位に分けて磨くことが大切です。(a→b→c)
装置周りはもちろん、歯と歯茎の境目にも汚れは溜まりやすいです。 - FLOW2
1箇所につき20回程度
毛先を歯面1箇所につき20回程度当てましょう。
歯ブラシを「動かす」というよりも小刻みに動かし、「振動させる」イメージで行いましょう。 - FLOW3
お口を半分閉じた状態で磨く
上の奥歯を磨く時は、お口を半分閉じた状態で磨くと奥歯までブラシが届きやすいです。
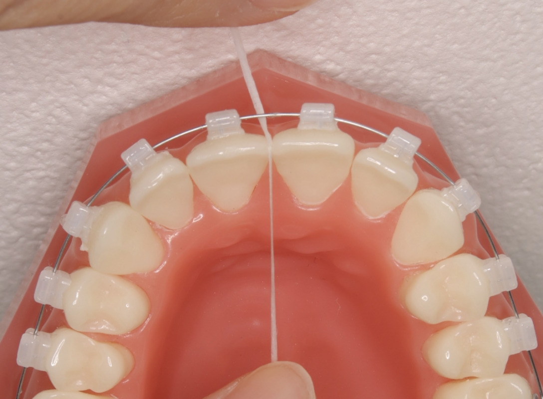
DENTAL FLOSS
デンタルフロス
⭐︎矯正治療中はロールタイプのフロスの使用をお勧めします。
(持ち手が付いていないもの)
(持ち手が付いていないもの)


a

b

c
- FLOW1
デンタルフロスをカット
デンタルフロスを適度な長さにカットします。
目安:指先から肘までの長さ - FLOW2
歯の隙間から通す
デンタルフロスの先をワイヤーと歯の隙間から通します。(a) - FLOW3
スライドさせる
反対側を内側に引っ張ってノコギリを引くようにスライドしながら歯と歯の間に通します。(bc)
※勢いよく通すと歯茎に傷をつけてしまう恐れがあります。 - FLOW4
フロスを引き抜く
フロスを根元まで通したら引き抜きます。